Από το 1998 κύρια μέριμνα μας είναι η αποκλειστική παροχή υψηλής ποιότητας περιοδοντικής και εμφυτευματολογικής θεραπείας βασισμένη στην επιστημονική τεκμηρίωση. Η αντιμετώπιση του κάθε περιστατικού εξατομικεύεται σύμφωνα με τις λειτουργικές και αισθητικές απαιτήσεις του επισκέπτη και έχει ως κύριο στόχο την μακροχρόνια διατήρηση του θεραπευτικού αποτελέσματος. Ο συνδυασμός της γνώσης των σύγχρονων τεχνικών με την κλινική εμπειρία είναι ο πιο σημαντικός “εξοπλισμός” ενός ιατρείου που θέλει να παράγει σε βάθος χρόνου ικανοποιημένους ασθενείς…
- Περιοδοντίτιδα Αθήνα
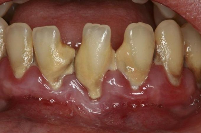
- Ουλίτιδα Αθήνα
- Οδοντιατρικά εμφυτεύματα, Αθήνα.
- Εμφυτευματολογικό ιατρείο, Αθήνα.
- Περιοδοντολόγος, Αθήνα.
- Θεραπεία ουλίτιδας, Αθήνα.
- Περιοδοντολογικό ιατρείο Αθήνα
- Εμφυτεύματα δοντιών Αθήνα
περιοδοντολόγος αθήνα, εμφυτευματολόγος αθήνα,επικουρος καθηγητης πανεπιστημιου αθηνων D.D.S, M SC DR DENT
Δείτε όλους τους Περιοδοντολόγους























